定期健診7つのステップ
STEP
当院の定期健診は以下の7つのステップから成り立っています。
これにより、口腔組織のダメージや出血を抑えて、より快適で安全な治療が可能になりました。
これにより、口腔組織のダメージや出血を抑えて、より快適で安全な治療が可能になりました。
STEP.1 / 診査
歯と歯ぐきの状態を検査します
健康な天然歯であるか、むし歯、歯肉炎、歯周炎になっていないか確認します。インプラントの場合は、粘膜炎、周囲炎になっていないか確認します。歯周ポケットの深さを測り、歯ぐきの出血がないか、歯が動揺していないか調べて数値や結果を記録します。
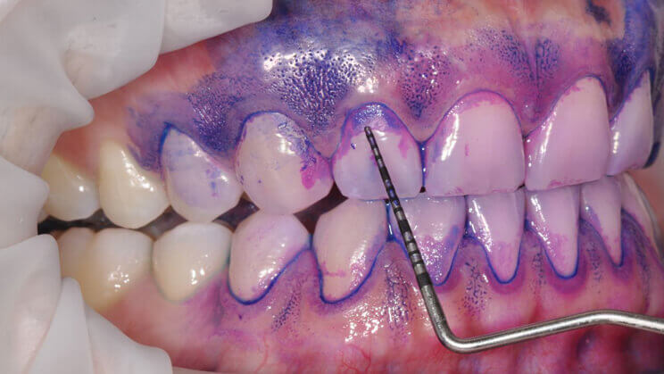
STEP.2 / 染出し
バイオフィルムを染出して見えるようにします
バイオフィルムを染出して患者さんにも見ていただきます。紫~青色に染まったバイオフィルムは36時間以内に生成されたもので、ピンク色に染まった部分は1日以内に生成されたものです。色のついた部分を全て除去することが、バイオフィルムの確実な除去の目安になります。染まっている部分は歯磨きが不十分な個所であると共に、歯周ポケットが深くなる危険のある場所でもあります。

STEP.3 / 予防のお話
予防の重要性についてのお話
バイオフィルムが染まった状態を見ながら、患者さんがご自宅で使っておられる歯ブラシ等の道具についてお聞きし、改善出来る点はあるか等のお話をさせていただきます。実際に染まった歯を見ることで、患者さんが色々なことに気づいて、苦手な部分へのブラシの当て方をどうすれば良いのか等、積極的に考えるきっかけとなります。

STEP.4 / エアフロー
バイオフィルム、ステイン(着色汚れ)、早期歯石を除去
エアフローを使ってバイオフィルム、ステイン(着色汚れ)、早期歯石を天然歯、補綴物、インプラント周囲から除去します。エアフローで使用するパウダーは粒子の直径がわずか14μmですので、細かい汚れを吸着させると同時にジェット水流で洗い流します。染め出しをすることで、バイオフィルムを見落とさずに完全に除去出来ます。
コーヒーや紅茶、タバコのヤニなどの着色汚れが落ち、本来の白い歯と輝きが戻って表面がツルツルになります。1回でかなりきれいになります。
コーヒーや紅茶、タバコのヤニなどの着色汚れが落ち、本来の白い歯と輝きが戻って表面がツルツルになります。1回でかなりきれいになります。

STEP.5 / スマートピエゾンとPSチップ(必要に応じて)
残った歯石の除去
エアフロー使用後、歯肉縁上・縁下にまだ残っている歯石をスマートピエゾンとPSチップを用いて除去します。歯科衛生士が必要と判断した時にのみ行います。

STEP.6 / 確認
バイオフィルムが残っていないか確認します
染めた部分が完全に除去されたかを確認します。最後にフッ素のうがいをして歯を保護します。

- エアフローによる治療前
- 歯と歯の間のむし歯が歯の汚れによって、歯面清掃を行う前には見えにくくなっています。

- エアフローでの治療後
- 歯と歯の間のむし歯がわかるようになりました。このように、口腔内の問題が見過ごされるのを防ぐことが出来ます。
STEP.7 / 次回のご予約
歯ぐきの健康 = 生活の向上
歯ぐきの状態に応じて次回の予約をお取りします。
定期健診にきちんと来ていただければ、ほとんどの場合、エアフロー治療だけでバイオフィルムと早期歯石の除去には十分です。歯周炎の症状の改善にもなり、 定期的にクリーニングを受けていただくことは、長期的な歯の健康の維持に繋がります。
定期健診にきちんと来ていただければ、ほとんどの場合、エアフロー治療だけでバイオフィルムと早期歯石の除去には十分です。歯周炎の症状の改善にもなり、 定期的にクリーニングを受けていただくことは、長期的な歯の健康の維持に繋がります。
エアフローを使った歯周治療について
- 虫歯や歯周病の原因はバイオフィルムです。(歯周病の原因は歯石ではありません)GBTはそのバイオフィルムに着目した新しい治療法です。
研磨剤を使いませんので知覚過敏を起こすこともなく汚れを取り除いて、歯にとても優しい治療法です。バイオフィルムや初期歯石をしっかりと取り除き、歯や歯肉を傷つけることがありませんので、殆ど痛みを感じません。
当院の歯科衛生士はバイオフィルムのコントロールによる歯周病治療のノウハウを専門的に勉強しており、日本歯周病学会に所属しているスタッフも在籍しています。吹田でエアフローを使用してのクリーニングを行っている歯医者を探しておられる方は、まつもと歯科にぜひお越し下さいね。
エアフローの専用パウダーについて
エアフローで使用する専用パウダーはエリスリトールという天然の糖アルコールで、下記のような特徴があります。エアフローパウダー+超微細ウォータースプレーの噴射により、しつこい色素沈着やプラークを素早く除去します。
- 特徴1 ほぼ0カロリー
- 特徴2 砂糖の70%の甘み
- 特徴3 血糖値を上昇させない
- 特徴4 ほぼ副作用がない

位相差顕微鏡
MICROSCOPE

位相差顕微鏡って?
位相差顕微鏡とは、細菌や微生物を生きたままくっきり見ることが出来る顕微鏡です。まつもと歯科では、このシステムを用いて口腔内細菌のチェックを行うようになりました。プラーク(歯垢)を採取して、その場で口腔内細菌の状態を顕微鏡で拡大してモニターで見ることができます。
理想的な状態であればいかにして維持するか、問題があればどうすれば良い状態にできるかアドバイスいたします。
理想的な状態であればいかにして維持するか、問題があればどうすれば良い状態にできるかアドバイスいたします。
- ご自分の口腔内の状態を正しく知り、
- 正しい予防と治療を行うことが大切です。
- お気軽に歯科衛生士にご相談ください

お口の中にはどんな菌がいるの?
まつもと歯科では、お口の中には約700種類の細菌がいます。歯みがきの磨き残しなどが原因で歯の表面にプラーク(歯垢)が付着すると、プラーク1mgに約10億個の細菌が住みついているといわれています。
プラークが増えると、細菌が増殖して虫歯や歯周病、口臭などを招くことがわかっています。まずご自身のお口の中の菌を、位相差顕微鏡でチェックしてみましょう。
こちらの写真は電子顕微鏡によるものです。
(出展:日本大学歯学部)
プラークが増えると、細菌が増殖して虫歯や歯周病、口臭などを招くことがわかっています。まずご自身のお口の中の菌を、位相差顕微鏡でチェックしてみましょう。
こちらの写真は電子顕微鏡によるものです。
(出展:日本大学歯学部)


グラム陽性菌
乳酸菌やビフィズス菌等の
善玉菌
善玉菌

グラム陰性菌
大腸菌、サルモネラ菌、
緑膿菌等の悪玉菌
緑膿菌等の悪玉菌

トレポネーマデンティコラ
歯周病に関与する
嫌気性細菌
嫌気性細菌

代表的な歯周病菌
ポルフィロモナスジンジ
バリス菌
バリス菌
歯周病と虫歯の検査をします
- 新しい虫歯ができていないか、虫歯のできそうな歯はないか、歯周病の恐れはないか、歯周病は進行していないか(歯周ポケットの深さ、出血の有無、歯のグラグラの有無)など、歯や歯肉の状態を確認します。
異常のない場合
歯のクリーニング
- 歯科衛生士が専用機器を使って歯をクリーニングします。当院ではエアフローという器械を使っています。普段のブラッシングでは取れない歯の表面のバイオフィルムをパウダーとウォータースプレーで除去します。茶渋等の汚れも落ちますので、歯が本来の色に戻り、歯の表面がツルツルになります。当院では歯のクリーニングに力を入れており、患者さんお一人お一人に担当の歯科衛生士がつき丁寧にクリーニングいたします。
唾液検査 / SMT
- 唾液検査システム「SMT」を導入しています。この唾液検査は測定時間5分で3STEPの簡単な検査になりますので、患者さんに手間や負担がかかりません。この検査で6項目(むし歯菌・酸性度・緩衝能・白血球・タンパク質・アンモニア)を測定できるので、虫歯・歯周病・口臭のリスクが分かります。
初期・中期の歯周病や虫歯があった場合
歯周病や虫歯の治療
- 歯周病や虫歯の箇所が見つかれば治療に入ります。定期的に健診を受けていると早期発見・早期治療が可能になります。
- 3ヶ月に1度位の頻度で来院していただきます。
所要時間は約40分です。
保険適用で費用は3,000~4,000円程度です。 - お口の中の環境は一人ひとり違っており、人によって虫歯になりにくかったり、歯周病になりにくかったりします。しかし、殆どの方が、歯磨きだけでは虫歯や歯周病を防ぐことが出来ません。歯の表面につくバイオフィルムという細菌の塊を歯磨きだけできれいに落とすことは、なかなか難しいのです。そのため当院では、定期的に来院して頂き、定期健診を受けてバイオフィルムや歯石を除去することをおすすめしております。
80歳で残存歯数20本を
目指す
PRESERVE TOOTH
日本人の歯を失う原因の第1位は歯周病です。
その歯周病を防ぐには定期健診が大変有効なことが証明されています。
その歯周病を防ぐには定期健診が大変有効なことが証明されています。

年齢とともに歯はなくなるものだと考えていませんか? 確かに昔は、おじいちゃん・おばあちゃんは入れ歯なのが普通のように思われていました。
しかし現代では、80歳以上の残存歯数20本を目指そうという提唱が世界的に活発になってきました。歯科先進国といわれている北欧のスウェーデンでは、歯の定期健診が国民の義務として導入されており、2015年以降のデータでは、80歳以上の平均残存歯数21本を見事に達成しています。
一方、日本の80歳以上の平均残存歯数は13本で、世界的に見るとまだまだ歯科への意識が乏しい印象です。「毎日歯磨きを欠かさないので自分は大丈夫」「本当に歯がなくなったら考える」「今はインプラント治療もある」今はそう考えられても、もし実際に入れ歯治療・インプラント治療しか残されていない状況になったとしたら…
何年後か、自分の歯を大事にしなかったことを後悔する日がきっと来ます。そうならないために、今から歯のためにできる、最大の予防歯科である定期健診を強くおすすめします。
しかし現代では、80歳以上の残存歯数20本を目指そうという提唱が世界的に活発になってきました。歯科先進国といわれている北欧のスウェーデンでは、歯の定期健診が国民の義務として導入されており、2015年以降のデータでは、80歳以上の平均残存歯数21本を見事に達成しています。
一方、日本の80歳以上の平均残存歯数は13本で、世界的に見るとまだまだ歯科への意識が乏しい印象です。「毎日歯磨きを欠かさないので自分は大丈夫」「本当に歯がなくなったら考える」「今はインプラント治療もある」今はそう考えられても、もし実際に入れ歯治療・インプラント治療しか残されていない状況になったとしたら…
何年後か、自分の歯を大事にしなかったことを後悔する日がきっと来ます。そうならないために、今から歯のためにできる、最大の予防歯科である定期健診を強くおすすめします。
定期健診でお口の健康をサポート

予防歯科の基本が定期健診です。歯や歯ぐきの状態が悪くなる前にクリニックで定期的な健診を受けることにより、口の中を健康に保てます。もし治療が必要になっても最小限の治療で済みます。
虫歯が出来ると削って治療しますが、一度削った歯はもとには戻りません。出来るだけ削らずに痛みの少ない治療を行うためには早期発見・早期治療がとても重要です。
歯のクリーニングでは歯周病や虫歯の原因となる歯垢・歯石(バイオフィルム)を取り除きます。毎日丁寧に歯みがきをしているつもりでも少しずつ汚れがたまり、細菌の塊であるバイオフィルムがついてしまいます。このバイオフィルムは歯みがきでは落とすことができない為、プロによる歯のクリーニングで落とすことが歯の健康につながります。
歯のクリーニングをすると歯もツルツルになって、口の中がすっきりします。歯磨きをしても口の中がなんだかすっきりしない、口臭が気になるという方もぜひ一度ご来院ください。
虫歯が出来ると削って治療しますが、一度削った歯はもとには戻りません。出来るだけ削らずに痛みの少ない治療を行うためには早期発見・早期治療がとても重要です。
歯のクリーニングでは歯周病や虫歯の原因となる歯垢・歯石(バイオフィルム)を取り除きます。毎日丁寧に歯みがきをしているつもりでも少しずつ汚れがたまり、細菌の塊であるバイオフィルムがついてしまいます。このバイオフィルムは歯みがきでは落とすことができない為、プロによる歯のクリーニングで落とすことが歯の健康につながります。
歯のクリーニングをすると歯もツルツルになって、口の中がすっきりします。歯磨きをしても口の中がなんだかすっきりしない、口臭が気になるという方もぜひ一度ご来院ください。

歯は全身の健康に深く関係しています
80才で20本の歯を目指す方には、ぜひ定期検診をお勧めします。
歯の健康は、歯科医院でのクリーニングと
ホームケアを両立することで維持することができます。
歯の健康は、歯科医院でのクリーニングと
ホームケアを両立することで維持することができます。
バイオフィルムによる全身的な弊害
1.心筋梗塞
- アメリカのバッファロー大学の調査では、歯周病にかかっている方が心筋梗塞を起こす確率は、歯周病にかかってない方の3倍高いという結果が出ています。また、心筋梗塞を起こした患者さんの心臓には、その方の口の中に歯周病菌がいることを発見しました。
2.脳梗塞
- 口の中の病原菌は、歯周病を起こすと同時に、そこから血管内に入り込み、血流に乗って首のところまでくると、そこにいったんとどまり、さらに首から脳に侵入し、毛細血管内で血栓を作って脳梗塞を発症することが明らかになっています。
3.糖尿病
- 糖尿病の人は感染に弱いため、歯周病になりやすいと言われますが、逆に歯周病の人も糖尿病になりやすいし、糖尿病を悪化させやすいこともわかっています。なぜなら、歯周病菌の毒素にはインスリン拮抗作用があるからです。歯周病菌はインスリンの効果を失わせるため、血糖値は上がり、糖尿病は悪化してしまいます。
4.老化
- 無菌状態の哺乳類は、脳の完成までの期間の5倍生きるといわれています。人間の脳はおよそ25歳で完成しますから、本来の寿命は120~130歳であると推定されます。現実の生活では無菌状態は無理ですが、一番影響を及ぼしてるのが、私たちの体内、とくに口の中の細菌です。(口の中の細菌は毒性が強いため)
私たちは外からの病気の感染には注意を払いますが、体内の細菌には無頓着です。まず、この考えを改めることが健康と若返りへの第一歩です。
このように、歯のクリーニングをすることによって、全身の健康維持に大きく貢献することができます。
定期健診に関する
よくあるご質問
Q&A
定期健診を受診するベストな頻度はどれくらいですか?

一般的には3ヶ月に1回のペースで歯科の定期健診を受けるのが理想的です。お口の状態やリスクによっても異なりますが、虫歯や歯周病は初期段階ではほとんど自覚症状がないため、定期的にチェックすることで早期発見・早期治療が可能になります。
虫歯や歯周病リスクの高い方や、被せ物・インプラントなどの処置をされている方は、1.5~2ヶ月に1回の頻度が推奨されることもあります。自分に合った適切な受診間隔は、歯科医師と相談して決めると安心です。
虫歯や歯周病リスクの高い方や、被せ物・インプラントなどの処置をされている方は、1.5~2ヶ月に1回の頻度が推奨されることもあります。自分に合った適切な受診間隔は、歯科医師と相談して決めると安心です。
定期健診の内容には何が含まれますか?

定期健診では、虫歯や歯周病のチェックをはじめ、歯のクリーニング(歯石・プラーク除去)や歯ぐきの検査、咬み合わせの確認、ブラッシング指導などを行います。必要に応じて、レントゲン撮影や口腔内写真の記録を行うこともあります。
こうした総合的なチェックにより、お口の健康状態を正確に把握でき、問題があれば早めに対応できます。また、日々のセルフケアの質を高めるアドバイスも受けられるので、虫歯や歯周病を予防する意識づけにもつながります。
こうした総合的なチェックにより、お口の健康状態を正確に把握でき、問題があれば早めに対応できます。また、日々のセルフケアの質を高めるアドバイスも受けられるので、虫歯や歯周病を予防する意識づけにもつながります。
歯のクリーニングは保険適用で受診できますか?

歯のクリーニング(歯石除去や歯面清掃)は、保険適用で受けることが可能です。当院では、保険適用の範囲内で、歯周ポケットの検査・歯石除去・歯面清掃などを丁寧に行っています。さらに当院では、エアフローを使用したクリーニングを行っており、保険の範囲内でも高品質なクリーニングをご提供しております。定期健診の内容に、歯のクリーニングも含まれていますので、定期的に受診することを推奨しています。
定期健診で歯石取りはしてくれますか?

はい、定期健診では歯石の除去(スケーリング)を行うことが一般的です。歯石はブラッシングだけでは落とせないため、歯科医院での専門的なクリーニングが必要です。
歯石を放置すると歯周病の原因になり、口臭や歯ぐきの腫れ・出血を引き起こすこともあります。定期的な歯石除去によって、お口の中を清潔に保ち、健康な歯ぐきを維持することができます。特に歯周病予防を意識している方には非常に重要な処置です。
歯石を放置すると歯周病の原因になり、口臭や歯ぐきの腫れ・出血を引き起こすこともあります。定期的な歯石除去によって、お口の中を清潔に保ち、健康な歯ぐきを維持することができます。特に歯周病予防を意識している方には非常に重要な処置です。
定期健診1回あたりの費用はいくらぐらいですか?

定期健診は保険適用で受けられるため、自己負担は3割負担の場合で1,500~3,000円前後が目安です。検査内容や使用する機器、処置の有無によって多少異なります。例えば、レントゲン撮影を行うと追加費用が発生することがありますが、それでも比較的リーズナブルな費用で定期的なメンテナンスが可能です。
将来的な大きな治療費や痛みを防ぐためにも、コストパフォーマンスの高い予防策として多くの方が受診されています。
将来的な大きな治療費や痛みを防ぐためにも、コストパフォーマンスの高い予防策として多くの方が受診されています。











