保険診療 料金表
INSURANCE
こちらに掲載している料金は3割負担で計算した概算金額です。
※症例や治療内容によって費用が異なる場合がございます。
| 診療内容 | 内 容 | 治療費 |
|---|---|---|
| 初診料 | 740円 | |
| 再診料 | 120円 | |
| 管理料 | 330円 | |
| 指導料 | 240円 | |
| パノラマレントゲン | 歯や顎などお口の全体を診るレントゲンを撮影します。 | 1,200円 |
| デンタルレントゲン | 歯を細かく診るレントゲンを撮影します。 | 140円 |
| CT | 顎の骨や歯を立体的に撮影します。 | 3,510円 |
| 歯周ポケット検査 | 歯周ポケットの深さなどを調べます。 | 630円 |
| 抜歯 | 歯を抜きます。(薬代含まず) | 810円~1,410円 |
| 親知らずの抜歯 | 親知らずを抜きます。(薬代含まず) | 810円~3,000円 |
| 歯の根の治療 (神経を取る場合) |
前歯 | 1,100円 |
| 小臼歯 | 1,800円 | |
| 大臼歯 | 2,300円 | |
| 詰め物(インレー) | 前歯/レジン(白いプラスチック) | 1,000円 |
| 奥歯(銀歯) | 1,500円 | |
| かぶせ物(クラウン) | 前歯/レジン(白いプラスチック) | 8,000円 |
| 奥歯(銀歯) | 4,000円 | |
| 歯周病の治療 | 簡単な歯石取り | 1,000円(28本) |
| 歯ぐきの中の歯石取り | 1,000円(4~6本) | |
| 歯ぐきの手術 | 1,800円(1本) | |
| 入れ歯 | 取り外し式 | 1,500円(1本) |
自由診療(保険外診療)
料金表
UNINSURED
現金払い・クレジットカード払いの他、分割払いの取り扱いもしております。
※価格は全て税抜表示です。
※価格は全て税抜表示です。
分割払いについて
歯ッピースマイルプラン
デンタルローン
最大120回まで分割が可能、当院独自の分割プランです。
金利手数料は 実質年率3.6%です。
金利手数料は 実質年率3.6%です。
クラウン・インレー料金表
クラウン・ラミネートベニア
ジルコニアセラミック
クラウン
クラウン

ジルコニア・セラミックをベースに歯科技工士が表面にセラミックを焼き付けたもの。土台にファイバーコアを使用すると自然の歯の色に近く土台の色が透けて見えない。(土台にファイバーコアを使用する場合は、¥8,000+税 加算)
- ◎耐久性・見映えが優れている
- ◎二次虫歯や歯周病になりにくい
- ◎歯垢が付きにくいので歯周病に強い
- ◎口臭が起こりにくい
140,000円+消費税
分割プランはこちら
| 分割回数 | 1回目以降(税込) | 最終回(税込) |
|---|---|---|
| 36回 | 4,519 | 4,515 |
| 48回 | 3,449 | 3,458 |
| 60回 | 2,808 | 2,806 |
●金利3.6% 140,000円(税抜)の場合
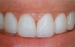
オールセラミッククラウン

光沢・透明感があり非常にきれい。天然歯と見分けがつきにくい。光沢の衰え、変色がありません。
- ◎二次虫歯になりにくい
- ◎歯周病に強い
- ◎口臭が起こりにくい
100,000円+消費税
分割プランはこちら
| 分割回数 | 1回目以降(税込) | 最終回(税込) |
|---|---|---|
| 24回 | 4,757 | 4,750 |
| 36回 | 3,228 | 3,210 |
| 48回 | 2,464 | 2,443 |
●金利3.6% 100,000円(税抜)の場合
ゴールドクラウン

保険で使われている合金に比べて、生体との親和性が良く、歯質との適合が良いため虫歯になりにくい。
小臼歯 198,000円+消費税
分割プランはこちら
| 分割回数 | 1回目以降(税込) | 最終回(税込) |
|---|---|---|
| 60回 | 3,971 | 3,999 |
| 84回 | 2,937 | 2,899 |
| 120回 | 2,163 | 2,233 |
●金利3.6% 198,000円(税抜)の場合
大臼歯 248,000円+消費税
分割プランはこちら
| 分割回数 | 1回目以降(税込) | 最終回(税込) |
|---|---|---|
| 60回 | 4,974 | 5,005 |
| 84回 | 3,678 | 3,705 |
| 120回 | 2,710 | 2,697 |
●金利3.6% 248,000円(税抜)の場合
セレッククラウン

コンピューターがつくるオールセラミックのクラウン。セラミックなので見栄えがよく、変色しにくいが、技工士作成のものより審美性は劣る。ブリッジは不可。
69,800円+消費税
分割プランはこちら
| 分割回数 | 1回目以降(税込) | 最終回(税込) |
|---|---|---|
| 18回 | 4,388 | 4,383 |
| 24回 | 3,320 | 3,319 |
| 36回 | 2,253 | 2,244 |
●金利3.6% 69,800円(税抜)の場合
ラミネートべニア
(セラミック)
(セラミック)

歯の表面に貼りつける素材。歯質の削除が少なく審美的に良好。前歯に限る。歯肉の色素沈着がない。
98,000円+消費税
分割プランはこちら
| 分割回数 | 1回目以降(税込) | 最終回(税込) |
|---|---|---|
| 24回 | 4,662 | 4,651 |
| 36回 | 3,163 | 3,165 |
| 48回 | 2,414 | 2,430 |
●金利3.6% 98,000円(税抜)の場合
※消費税別途
インレー
ゴールドインレー

保険で使われている合金に比べて、生体との親和性が良く、また、歯質との適合が良いため虫歯になりにくい。
小臼歯 115,000円+消費税
分割プランはこちら
| 分割回数 | 1回目以降(税込) | 最終回(税込) |
|---|---|---|
| 36回 | 3,712 | 3,708 |
| 48回 | 2,833 | 2,839 |
| 60回 | 2,306 | 2,329 |
●金利3.6% 115,000円(税抜)の場合
大臼歯 130,000円+消費税
分割プランはこちら
| 分割回数 | 1回目以降(税込) | 最終回(税込) |
|---|---|---|
| 36回 | 4,196 | 4,200 |
| 48回 | 3,203 | 3,196 |
| 60回 | 2,607 | 2,631 |
●金利3.6% 130,000円(税抜)の場合
セラミックインレー

セラミックを焼いて溶かして、もしくはセラミックのブロックを削りだして作るため、強度と耐久性をもつ。歯質との適合性はゴールドに比べてやや劣るといわれるが良好である。天然歯に近い色で修復でき、変色がない。歯ぎしりがある方は要相談である。
48,000円+消費税
分割プランはこちら
| 分割回数 | 1回目以降(税込) | 最終回(税込) |
|---|---|---|
| 12回 | 4,486 | 4,484 |
| 18回 | 3,017 | 3,020 |
| 24回 | 2,283 | 2,282 |
●金利3.6% 48,000円(税抜)の場合
※消費税別途
入れ歯 料金表
コバルト床(超精密義歯)

金属床義歯としてコバルトクロム素材は最も歴史のある素材です。熱伝導も良く清潔で美しい状態で、永く快適にご使用いただけます。
270,000円+消費税
分割プランはこちら
| 分割回数 | 1回目以降(税込) | 最終回(税込) |
|---|---|---|
| 60回 | 5,416 | 5,402 |
| 84回 | 4,005 | 3,975 |
| 120回 | 2,950 | 2,997 |
●金利3.6% 270,000円(税抜)の場合
チタン床(超精密義歯)

近年話題の最先端金属です。腐食せず、軽く、アレルギー反応を起こしにくい、身体に優しいチタンを使用します。イオンプレートで仕上げて金色に加工、清潔で美しい状態を長期にわたって保つこともできます。
320,000円+消費税
分割プランはこちら
| 分割回数 | 1回目以降(税込) | 最終回(税込) |
|---|---|---|
| 60回 | 6,419 | 6,405 |
| 84回 | 4,746 | 4,783 |
| 120回 | 3,497 | 3,474 |
●金利3.6% 320,000円(税抜)の場合
ノンクラスプデンチャー

金属を全く使ってない入れ歯。見た目も良く違和感も少なく快適。
1歯~3歯 160,000円+消費税
分割プランはこちら
| 分割回数 | 1回目以降(税込) | 最終回(税込) |
|---|---|---|
| 48回 | 3,942 | 3,943 |
| 60回 | 3,209 | 3,217 |
| 84回 | 2,373 | 2,372 |
●金利3.6% 160,000円(税抜)の場合
4歯~14歯 210,000円+消費税
分割プランはこちら
| 分割回数 | 1回目以降(税込) | 最終回(税込) |
|---|---|---|
| 60回 | 4,212 | 4,224 |
| 84回 | 3,115 | 3,082 |
| 120回 | 2,295 | 2,243 |
●金利3.6% 210,000円(税抜)の場合
ノンクラスプデンチャー
(金属床付き)
(金属床付き)

通常のノンクラスプデンチャーに金属を併用したものです。
- ◎噛む力が格段に強くなる
- ◎金属を裏側に付けるので全く見えない
- ◎より薄く作ることができて違和感が少ない
- ◎食べ物の温い・冷たいといった温度をより感じる
- ◎食事が楽しみになる
1歯~3歯 220,000円+消費税
分割プランはこちら
| 分割回数 | 1回目以降(税込) | 最終回(税込) |
|---|---|---|
| 60回 | 4,413 | 4,400 |
| 84回 | 3,263 | 3,264 |
| 120回 | 2,404 | 2,387 |
●金利3.6% 220,000円(税抜)の場合
4歯~14歯 270,000円+消費税
分割プランはこちら
| 分割回数 | 1回目以降(税込) | 最終回(税込) |
|---|---|---|
| 60回 | 5,416 | 5,402 |
| 84回 | 4,005 | 3,975 |
| 120回 | 2,950 | 2,997 |
●金利3.6% 270,000円(税抜)の場合
磁石の入れ歯

1組 50,000円+消費税
- (入れ歯費用は別途)
- 例)入れ歯27万円(金属床義歯)+磁石2組10万円(50,000円×2本)=合計370,000円+消費税
分割プランはこちら
| 分割回数 | 1回目以降(税込) | 最終回(税込) |
|---|---|---|
| 60回 | 7,422 | 7,412 |
| 84回 | 5,488 | 5,495 |
| 120回 | 4,043 | 4,082 |
●金利3.6% 370,000円(税抜)の場合
ロケーター義歯

1組 85,000円+消費税
- (入れ歯・インプラント費用は別途)
(ロケーターキャップは有償交換) - 例)インプラント50万円(250,000円×2本)+ロケーター17万円(85,000円×2本)+今お使いの入れ歯(費用¥0)=合計670,000円+消費税
分割プランはこちら
| 分割回数 | 1回目以降(税込) | 最終回(税込) |
|---|---|---|
| 60回 | 13,440 | 13,433 |
| 84回 | 9,938 | 9,966 |
| 120回 | 7,322 | 7,313 |
●金利3.6% 670,000円(税抜)の場合
※消費税別途
インプラント・矯正歯科の費用については各専門サイトをご覧ください。
保証制度やお支払方法
GUARANTEE&PAYMENT
自由診療の保証制度について

- 自由診療(保険外診療)にて治療された場合、歯の治療後も安心できるように当院では「保証制度」を設けております。
保証期間については定期健診を受けていただくことが条件になります。 - 保証制度の詳細はこちら
自由診療のお支払方法
自由診療のお支払方法は窓口現金、銀行振込、各種クレジットカード、デンタルローンがご利用いただけます。
クレジットカード払いも可能
- 自由診療のお支払いには各種クレジットカードがご利用いただけます。

デンタルローン(分割払い)も取り扱い
- デンタルローンも取り扱っております。詳しくはスタッフにおたずねください。
保険診療と自由診療の違い
歯科治療には保険診療と自由診療があります。
保険診療
- 保険診療では公的健康保険制度(社会保険や国民健康保険)に加入している場合、実際にかかった医療費の一部を自己負担(0割~3割の決まった割合)します。上記の保険診療の表は3割負担の患者さんの場合の治療費の例を記載しています。
自由診療
- 自由診療は保険が適用されない治療で、治療費は患者さんの全額自己負担となります。セラミックなどの審美歯科、インプラント、矯正など保険診療では行うことのできない審美性や機能性を重視した治療が自由診療の治療となります。
当院では患者さんの幅広い選択肢から治療法を選んでいただけるよう、保険診療と自由診療どちらも行っております。それぞれの方法のメリット・デメリットをご説明した上で、患者さんのご希望に合わせて治療方針を決めていきます。






